Миф 3: Диагноз СПКЯ означает диагноз бесплодие
Факт. СПКЯ может привести к бесплодию. Гормональные нарушения негативно влияют на способность яичника выпустить зрелую яйцеклетку, которая должна быть оплодотворена для развития беременности. Но женщина все равно можете забеременеть как естественным путем, так и после курса лечения, который включает нормализацию веса, менструального цикла, терапию фолликулостимулирующими препаратами и уж если не получается – после ЭКО.
Не стоит поддаваться панике. Страх бесплодия приводит к развитию длительного психического расстройства, которое, с одной стороны, ухудшает течение синдрома, с другой стороны, может стать причиной нарушений нейроэндокринной системы, что стимулирует возникновение и развитие PCOS, даже если у женщины его на самом деле не было.
Диагностика
Поставить диагноз СПКЯ по одним только жалобам и внешним признакам нельзя. Гинеколог, заподозрив заболевание, назначает пациентке ряд обследований:
- УЗИ;
- анализ крови;
- мазок на флору и инфекции;
- анализ на гормоны;
- лапароскопию.
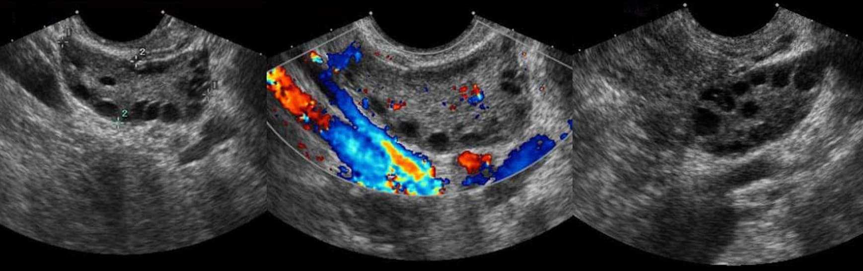
Диагностика при ультразвуковом сканировании
УЗИ органов малого таза – это исследование ультразвуком, позволяющее визуально оценить состояние органов. Для клинической картины поликистоза характерно увеличение желез в 2-3 раза и образование на них кистообразных гроздей, напоминающих виноград.
Второстепенным признаком становится несоответствие дню менструального цикла и смещение органов малого таза, которое свидетельствует о спаечном процессе.
Какие анализы крови сдавать и когда
Исследование гормонального фона играет дифференциальную роль в диагностике СПКЯ. В первую очередь, необходимо сдать ЛГ и ФСГ сразу после менструации и посмотреть их соотношение. При СПКЯ оно будет достигать пропорции 3:1.
Также важно установить уровень тестостерона и 17-ОН прогестерона, которые для подтверждения патологии должны быть выше нормы. При СПКЯ отмечается значительное снижение прогестерона, который исследуется во вторую фазу менструального цикла
Важно! Общий анализ крови можно сдавать в любой день, главное, натощак
Симптомы склерокистоза
Для склерокистоза характерно наличие следующих симптомов:
- резкое и двустороннее увеличение яичников,
- нарушение менструального цикла,
- бесплодие,
- повышенное оволосение тела, зачастую с мужскими чертами,
- гипоплазия матки, половых органов и груди,
- нарушение веса тела,
- проблемы с гормональным обменом.
Очень часто склерокистоз сопровождает лишний вес и ожирение, хотя это не обязательно.
Могут быть нарушения общего самочувствия из-за дисбаланса андрогенов и гормонов надпочечников: общая вялость и слабость, головные боли, апатия, неврастения, бессонница, снижение сексуальности.
Одними из самых частых проявлений склерокистоза становятся отсутствие менструаций или их нарушения: сначала менструации удлиняются, становятся очень обильными или наоборот, скудными, затем совсем исчезают.
Склерокистоз проявляется бесплодием, обычно оно возникает у 90% пациенток. При этом постепенно нарастают явления гирсутизма – избыточного оволосения, волосы растут над губой, на щеках и на груди, их много на руках и голенях, на животе. При этом наблюдается гипоплазия (недоразвитость) матки, либо ее атрофия, могут быть недоразвиты молочные железы.
Лечение СПКЯ
Тактика лечения СПКЯ подбирается в соответствии с выраженностью симптомов и стадией фертильности пациентки. Как правило, сначала назначаются консервативные методы, при отсутствии эффективности которых рекомендуется оперативное вмешательство.
Если женщина страдает ожирением, для повышения результативности консервативной терапии, первым этапом лечения является коррекция веса.
Консервативная терапия при СПКЯ направлена на стимуляцию процесса овуляции, восстановление менструального цикла, устранение внешних проявлений гиперандрогении (повышенного оволосения, угревой сыпи и пр.), а также коррекцию нарушений липидного и углеводного обмена.
Для улучшения углеводного обмена назначаются гипогликемические препараты (бигуаниды).
Стимуляция овуляции, как правило, проводится с помощью назначения приема гормонального препарата — антиэстрогена Кломифен-цитрата, а также гонадотропных гормонов Прегонала и Хумегона. Эффективность гормональной терапии контролируется с помощью ультразвукового исследования и мониторинга показателей базальной температуры.
Если в планы женщины не входит беременность, консервативное лечение СПКЯ проводят комбинированными оральными контрацептивами антиандрогенного действия, восстанавливающими менструальный цикл. В ходе лечения проводится динамический контроль над уровнем гормонов в крови.
Основным хирургическим способом лечения СПКЯ является лапароскопическая операция. Чаще всего проводят клиновидную резекцию яичников (удаление тканей яичников, чрезмерно синтезирующих андрогены), а также электрокаутеризацию яичников (андрогенпродуцирующую ткань яичников удаляют точечно). Оперативное вмешательство способствует восстановлению овуляции, благодаря чему через 6-12 месяцев женщина может забеременеть. Если через год зачатие не происходит, женщине может быть рекомендовано экстракорпоральное оплодотворение, как единственный способ забеременеть, выносить и родить ребенка.
Как его выявить?
Основные признаки синдрома поликистозных яичников — нерегулярный менструальный цикл, когда менструации возникают слишком редко, слишком часто или пропадают вовсе. Часто отмечаются повышенный рост волос на ногах и в нижней части живота — при этом волосы на голове становятся тоньше и могут выпадать. Проблемы с кожей включат акне, жирную кожу и повышенную пигментацию, особенно на шее, в паху и под грудью. Присоединяются и такие симптомы, как быстрый набор веса и повышенное артериальное давление. Проблема с диагностикой в том, что жирную кожу часто не воспринимают как симптом болезни, акне считают возрастным, а обильно растущие волосы на ногах списывают на невезение. С лишним весом и плохим настроением и того хуже — женщинам предлагают «перестать лениться», «взять себя в руки» и «собраться».
К сожалению, не существует единого теста, который сразу показал бы наличие заболевания. Чтобы поставить диагноз, доктор должен подробно расспросить пациентку, в том числе о регулярности менструального цикла и изменениях массы тела
При осмотре врач будет обращать внимание на рост волос и состояние кожи. Кроме того, необходим гинекологический осмотр, анализ крови на содержание гормонов, глюкозы, холестерина и триглицеридов
Чтобы оценить состояние матки и размер яичников (за счёт кист они обычно увеличены), проводится ультразвуковое обследование.
Как его лечат?
К сожалению, полностью предотвратить синдром поликистозных яичников нельзя — но его ранняя диагностика и лечение помогают предотвратить опасные осложнения. Лечение СПКЯ всегда комплексное и зависит от проявлений у конкретной пациентки — например, бесплодия, акне или ожирения. Часто для лечения требуется изменить образ жизни — речь о здоровом и разнообразном питании с разумно рассчитанной калорийностью и умеренных физических нагрузках
Для лечения синдрома важно снизить избыточный вес: его уменьшение даже на 5 % может существенно улучшить состояние, повысить эффективность лекарств и помочь при бесплодии. Главное — понимать, что коррекция питания и активности не временная мера и нового образа жизни придётся придерживаться всегда, чтобы хорошо себя чувствовать
Терапия лекарствами может быть направлена на нормализацию менструального цикла (это делается в первую очередь с помощью гормональных контрацептивов). Другой вариант — гормональная терапия, направленная на то, чтобы в ближайшее время наступила беременность. При назначении КОК чаще всего нормализуется и рост волос, и состояние кожи. В тяжёлых случаях, когда гормональная терапия не помогает, иногда проводится специальное хирургическое лечение.
Если у вас остались вопросы или есть тревожные признаки – приглашаем на консультацию к нашим специалистам.
Звоните по телефону: 068 046 44 44 или 379 19 11.
Виды СПКЯ
Гинекологи различают 2 разновидности синдрома – первичный и вторичный. Первичный – это самостоятельная патология, которая появляется в ходе полового созревания, но иногда встречается и врожденная.
О вторичном СПКЯ говорят, когда он возникает уже в репродуктивном периоде после воспалительных заболеваний, а также вследствие гормональных и эндокринных нарушений.
Необходимо знать, что при наступлении беременности пациенткам с СПКЯ обязательно нужно наблюдаться у гинеколога-эндокринолога, потому что при такой патологии опасность преждевременных родов, развития гестационного сахарного диабета или других патологий увеличивается в разы. Не пренебрегайте своим здоровьем и здоровьем вашего ребенка, запишитесь на прием к гинекологу!
Симптомы поликистоза яичников
Признаки и симптомы СПКЯ могут включать2:
- нарушения менструального цикла;
- бесплодие;
- гирсутизм;
- косметические дефекты;
- нарушение микрофлоры влагалища4;
- ожирение.
Нарушения менструального цикла
Менструальный цикл нарушается по типу нерегулярных, редких или отсутствующих менструаций. Скудные месячные могут сменяться обильными кровотечениями1. У девушек можно заподозрить развитие СПКЯ, если в течение 1,5–2 лет после начала месячных менструальный цикл так и не стал регулярным5.
Бесплодие
В яичниках женщины с синдромом поликистозных яичников яйцеклетка не созревает и не овулирует. Поэтому пациентки могут жаловаться на бесплодие. Бесплодие чаще всего первичное, то есть беременностей никогда не было1. Бесплодным считают брак, при котором беременность не наступает в течение года при регулярной половой жизни без применения контрацепции6.
Гирсутизм

Гирсутизм — это избыточный рост волос по мужскому типу. При этом жесткие стержневые волосы могут появляться над верхней губой, на подбородке, груди, животе, бедрах, плечах, спине и ягодицах. Предплечье и голень не являются андрогензависимыми зонами, поэтому волосы на них проявлением гирсутизма не считаются.
Нет четкой связи между уровнем мужских гормонов в крови и выраженностью гирсутизма: при незначительном повышении уровня гормонов может быть обильное оволосение, и наоборот2.
Косметические дефекты
Кожа и волосистая часть головы чувствительны к уровню андрогенов. При гиперандрогении косметические дефекты у женщин могут иметь вид1,2:
- облысения по мужскому типу. Волосы истончаются и выпадают выше линии лба, по бокам и на макушке;
- акне и жирной кожи. Кожа утолщенная, с жирным блеском, расширенными порами, шелушится;
- акантоза. В области кожных складок, шеи, подмышечных впадин, паха появляются пятна от светло-бежевых до темно-коричневого или даже черного цвета. Кожа в области пятен грубая, может быть покрыта папилломами.
Нарушение микрофлоры влагалища
На фоне нарушений менструального цикла, характерных для СПКЯ, нередко возникает изменение микрофлоры влагалища — бактериальный вагиноз. Это инфекционная патология, при которой нарушается вагинальная микрофлора. Воспалительной реакции со стороны тканей влагалища не выявляется, однако есть неприятные симптомы: зуд, выделения из половых путей с «рыбным» запахом, нарушения мочеиспускания, дискомфорт при интимной близости4.
Ожирение
У женщин с поликистозом яичников ожирение выявляется чаще, чем в общей популяции. Ожирение при СПКЯ развивается по типу «яблока», когда основная масса жира концентрируется в области живота и брюшной полости1.
Классификация
По происхождению поликистоз яичников классифицируется как первичный (СПКЯ) и вторичный (сопутствующий известным нозологическим формам). Склерополикистоз разделяют на две формы – с ожирением и с нормальной или сниженной массой тела. Кроме того, выделяют 4 фенотипа СПЯ, в основе которых лежат симптомы, являющиеся критериями диагностики:
- Фенотип A (классический). Сочетание гиперандрогении с ановуляцией, поликистозом. Частота встречаемости 54%.
- Фенотип B (ановуляторный). С гиперандрогенией, овуляторной дисфункцией, без поликистоза. Распространённость 29%.
- Фенотип C (овуляторный). Гиперандрогения и поликистоз. Частота встречаемости 9%.
- Фенотип D (неандрогенный). Ановуляция и поликистоз. Встречаемость 8%.
О патологии
Склерокистозом яичников называют гинекологическое заболевание, которое возникает вследствие нарушений работы эндокринной системы. В результате развития такой патологии в полости яичников образуется большое количество миниатюрных кистозных опухолей, которые не превышают по диаметру 2 сантиметра. За счет прогрессирования склерокистоза, маточные придатки увеличиваются в размере, а их белковая оболочка значительно утолщается, что препятствует началу овуляционного периода и, в том числе, зачатию.
Главными причинами образования кист в маточных придатках является такое состояние, как гиперандрогения (увеличенное количество мужских гормонов) совместно с гипоэстрогения (недостаточная выработка эстрогенов). Если при таком состоянии у девушки наблюдается гиперинсулинемическая инсулинорезистентность, то нередко проявляются симптомы склерокистозного полиэндокринного синдрома (СПКЯ). Именно поэтому лечение должно включать в себя стабилизацию работы как репродуктивной, так и эндокринной системы.
К сожалению, в наше время медицинские специалисты очень редко могут полностью излечить такое хроническое заболевание. Но инновационные средства позволяют устранить неприятную симптоматику, остановить прогрессию патологии и спровоцировать начало овуляции. Таким способом больная женщина может зачать, выносить и родить здорового малыша.
Схема диагностики
При выставлении диагноза придерживаются критериев, выставленных на Роттердамском консенсусе в 2004 году. Согласно этим данным, у женщины должно быть выявлено три признака:
- Олигоменорея и/или ановуляция.
- Гиперандрогения.
- Ультразвуковые признаки склерокистозных яичников.
Для обнаружения патологии применяются такие методы:
Гинекологический осмотр. При пальпации определяется матка нормальныхразмеров и увеличенные яичники. В запущенных ситуациях и выраженном склерозе гонады уменьшаются
Во время осмотра обращают на себя внимание признаки гирсутизма, избыточная масса тела.
Лабораторные исследования. В анализе крови отмечается повышение лютеинизирующего гормона и изменение соотношения ЛГ/ФСГ более чем в 2,5 раза
Наблюдается рост тестостерона – представителя мужских половых гормонов. У четверти женщин идет повышение пролактина.
Ультразвуковое исследование. На УЗИ определяется увеличение яичников, появление кистозных включений – мелких фолликулов размерами до 1 см числом не менее 10.
Допплерометрия. При оценке кровотока отмечается выраженная сосудистая сеть в строме органа.
Аспирационная биопсия эндометрия проводится только при маточных кровотечениях. Склерокистоз яичников часто идет вместе с гиперплазией эндометрия – состоянием, при котором происходит разрастание слизистого слоя матки. Чем больше срок заболевания, тем выше вероятность развития такой патологии.

Как лечить склерокистоз
Терапия склерокистоза может осуществляться как консервативным, так и оперативным путем. Выбор лечебной тактики производит исключительно квалифицированный доктор. Он зависит от степени тяжести заболевания, проявленных симптомов и поражения функции яичников.
Медикаментозное лечение
В первую очередь, если масса тела женщины превышает норму, то доктор прикладывает все усилия для того, чтобы стабилизировать вес больной. Для этого, с помощью диетолога и эндокринолога девушке назначается специальная диета, в ходе которой она исключает из своего рациона вредные продукты и сбалансировано питается 4-5 раз в день. Также в таких ситуациях назначаются физические занятия с тренером. Специалист составляет тренировку так, чтобы не нагружались детородные органы, но тело всегда находилось в тонусе.
Для уменьшения массы тела и устойчивости организма к инсулину могут назначаться фармакологические препараты, в состав которых входят метформин и глитазон. Могут также назначаться другие медикаменты, но такая возможность согласовывается с эндокринологом и диетологом.
Правильное питание, физические нагрузки и прием лекарственных средств способствует улучшению работы эндокринной системы. Связано это с тем, что в жировых слоях и производится выработка большого количество внеячниковых половых гормонов – эстрогенов. Снижение веса благоприятно сказывается и на работе гипофиза.
Основная методика лечения назначается после снижения массы тела женщины. Тогда результаты будут наиболее положительными. Доктору необходимо назначить пациентке гормональные препараты, которые поспособствуют уменьшению количества одного гормонального элемента, и спровоцируют ускоренный синтез второго. Чаще всего применяются антиадрогенные и эстроген-гестагенные средства.
К сожалению, медикаментозная терапия не всегда заканчивается положительно. Связано это с тем, что клетки, необходимые для оплодотворения, не способны выбраться из полости яичников из-за чрезмерно утолщенной, наросшей оболочки. Гормонатерапия не провоцирует истощение наросшего, белкового слоя. Тогда и прибегают к проведению операции.
Оперативное лечение
Хирургические операции, которые направлены на иссечение новообразований и уменьшение плотности белковой оболочки яичников, могу проводиться как полостным (полное рассечение живота) так и малотравматичным способом (с помощью специального инструмента доктор проделывает отверстие и выполняет необходимые манипуляции). Выбор способа полностью зависит от стадии болезни.
По возможности, врачи, конечно же, прибегают к лапароскопической операции яичников, при которой их целостность и функционирование сохраняется. После прохождения реабилитации девушка сможет зачать, выносить и родить здорового малыша.
В более запущенных ситуациях производят полостное вмешательство. В ходе такой операции могут образовываться спайки и значительно поражаться маточные придатки. Подобные нарушения приводят к угнетению работоспособности яичников и последующему бесплодию.
Что такое гормоны и почему важно лечить гормональные нарушения
Гормоны – это химические вещества, вырабатываемые железами эндокринной системы и выделяющиеся в кровоток. Дисбаланс возникает, когда какого-либо гормона слишком много или слишком мало.
Гормоны важны для регуляции многих различных процессов в организме, включая аппетит и обмен веществ, циклы сна, репродуктивные циклы и сексуальную функцию, температуру тела и настроение. Не удивительно, что даже малейший дисбаланс может оказать заметное влияние на общее состояние здоровья.
Уровень гормонов естественным образом колеблется на разных этапах жизни, наиболее заметно это колебание в период полового созревания и у женщин во время менструального цикла, беременности и менопаузы. Он также может зависеть от образа жизни и определенных заболеваний.
Гормональный дисбаланс может быть причиной появления нежелательных симптомов от усталости или увеличения веса до зудящей кожи или плохого настроения
Важно обращать внимание на любые симптомы и сразу же консультироваться с квалифицированными специалистами, чтобы получить соответствующее лечение, будь то использование лекарств или дополнительных методов терапии, или внесение изменений в образ жизни, чтобы восстановить баланс и здоровье
Рассмотрим 10 признаков гормонального дисбаланса у женщин.
Лечение в нашей клинике
После тщательной диагностики и оценки результатов анализов лечащий врач назначает пациентке лекарственную терапию. Лечение практически всех заболевания репродуктивной системы в своей основе имеют медикаментозную терапию, и только в самых тяжелых случаях или острых формах, требующих незамедлительного хирургического вмешательства, делается операция.
Лекарственная терапия при заболеваниях репродуктивной системы у женщин включает в себя назначение различных фармацевтических препаратов. Они могут быть в виде таблеток, капсул, мазей, гелей или инъекций. Какие именно препараты будут назначены — решает врач, исходя из характера и сложности заболевания.
В случае инфекции мочевыводящих путей или воспалительного процесса обычно назначают НПВС (нестероидные противовоспалительные средства): диклофенак, ибупрофен, индометацин. Эти препараты могут также выступить в роли обезболивающих и жаропонижающих средств.
Если у женщины выявлены инфекционные заболевания половых путей, то обычно назначают антибиотики, противовирусные, противогрибковые и антисептические препараты. Это могут быть: цефалексин, цефазолин, нистатин, клотримазол. метронидазол и др. При инфекционных заболеваниях репродуктивной системы также назначает курс иммуномодуляторов для укрепления иммунной системы, чтобы усилить ее сопротивление патогенным микробам.
Лекарственная терапия при лечении гормонозависимых гинекологических заболеваний включает в себя назначение гормональных препаратов. Эти препараты содержат в себе синтетические гормоны, и являются прекрасным средством как для лечения различных патологий, так и для снятия воспалительных процессов или же для предупреждения нежелательной беременности. Обычно назначают: норколут, утрожестан, дивин, климен и пр. Но у гормональных препаратов есть ряд побочных эффектов и противопоказаний, так что определять, какое именно лекарство выписать, должен только врач.
Как дополнительные меры для усиления эффекта от лекарственной терапии часто назначается физиотерапия и некоторые виды аппаратного лечения. Так при эрозии шейки матки женщине могут сделать лазерную, радиоволновую или же химическую деструкцию. А в случае неэффективности медикаментозного лечения применяется хирургическое вмешательство, которое в большинстве своем проводится лапароскопически, т.е. менее инвазивно и травматично, чем полостные операции.
Все эти виды лечения заболеваний женской репродуктивной системы Вы можете получить в клинике “МОСМЕД”. Цель нашей клиники — помочь каждой пациентке с ее проблемой. И этим мы с успехом занимаемся на протяжении многих лет. К Вашим услугам — высококвалифицированные специалисты, светлые, просторные кабинеты, внимательное и доброжелательное отношение, уютная и комфортная обстановка.
Прием врача акушера-гинеколога первичный: 2200 Р.
Записаться Он-лайн Cкидка 5% при записи с сайта
Чрезмерная потеря ресниц и бровей – причины
Основная причина выпадения ресниц и бровей, как и в случае с волосами на голове, — ослабление волосяных фолликулов. Есть много причин для этого явления, например:
- Косметические процедуры. Истончение бровей и ресниц может быть вызвано различными косметическими процедурами, например, перманентным макияжем, поэтому, когда речь идет о данном виде услуг, всегда стоит выбрать специализированную клинику.
- Неправильный уход. Волосяные фолликулы могут раздражаться косметикой. Нахождение в макияже в течение нескольких часов в течение дня, сон в макияже, наклеивание накладных ресниц или их наращивание ускоряют потерю ресниц. Неснятие макияжа также вызывает механические повреждения ресниц – их ломку. Важный аспект — способ снятия макияжа. При мытье, не следует слишком сильно тереть веки. После нанесения средства для снятия макияжа следует подождать, а затем удалить растворенную тушь ватным тампоном.
- Аллергия. Причиной чрезмерной потери ресниц также может быть аллергия на вещества, содержащиеся в косметике. Неумелое окрашивание ресниц (на внутренней стороне линии ресниц) способствует закупорке выходов сальных желез, расположенных по краям век. Это приводит к воспалению. В результате появляются зуд, жжение, сопровождающееся покраснением или отечностью краев век.
- Снижение иммунитета. Ослабление организма затрагивает каждую клетку организма. Может вызвать ухудшение состояния кожи и выпадение волос.
- Диета, бедная микро- и макроэлементами и витаминами. Для правильного функционирования организму необходимо определенное количество питательных веществ. На основании многочисленных исследований было отмечено, что на правильное развитие волосковых клеток, бровей и ресниц и их состояние существенно влияют биотин (витамин В7), витамин С (необходим для синтеза коллагена), витамин Е, В12 и D. Важную роль также играет правильное количество цистеина и омега-3 кислот.
- Гормональные нарушения. Частая причина потери ресниц и бровей — проблемы со щитовидной железой, что влияет на регуляцию обмена веществ всего организма.
- Аутоиммунные заболевания. Выпадение ресниц может вызвать псориаз, атопические и контактные заболевания и себорейный дерматит.
- Вредные внешние факторы. Изменения температуры и грязь также влияют на состояние бровей и ресниц.
- Использование некоторых лекарств. Потеря бровей и ресниц также может быть связана с неправильным использованием, например, касторового масла, которое по факту должно стимулировать рост волос.
- Химиотерапия и лучевая терапия и другие препараты, побочным эффектом которых может быть чрезмерное выпадение ресниц, бровей и волос. Химиотерапия разрушает больные клетки, но, к сожалению, она также влияет на функционирование здоровых тканей. Поэтому онкологическое лечение у многих больных вызывает слабость и выпадение волос.
- Рецидивирующие паразитарные, грибковые или бактериальные инфекции глазного защитного аппарата.
- Самостоятельная эпиляция. Выдергивание волосков из бровей — сложная процедура. Нельзя выдергивать больше волосков, чем необходимо. Также необходим правильный уход, как до, так и после процедуры.
- Стресс. Физиологические изменения, возникающие под влиянием хронического стресса, вызывают снижение количества кислорода в волосяных фолликулах и гормональные колебания, также влияющие на состояние волос. Существует также четкая связь между стрессом и выпадением волос. Исследователи указывают, что длительный сильный стресс влияет на гормональный баланс и иммунную систему. Результатом могут быть нарушения роста и жизненного цикла волос в различных областях тела, и, следовательно, прогрессирующее облысение.
Стресс — одна из причин перепроизводства и высвобождения нейрогормонов и нейромедиаторов, влияющих на волосяные фолликулы. Наиболее важные из них:
- пролактин, ускоряющий переход волосяных фолликулов из фазы роста в покой;
- кортизол, вызывающий разрушение соединений, необходимых для правильного протекания фазы роста;
- нейропептид Р, оказывающий провоспалительное действие на волосяные фолликулы, также ингибирует деление клеток и ускоряет гибель клеток.
Симптомы СПКЯ
Врачи заметили, что синдром поликистозных яичников может развиваться сразу после первой менструации. Когда в подростковом возрасте менструальный цикл еще стабилизируется, девушка будет рассматривать симптомы как норму, даже не догадываясь о СПКЯ. Синдром поликистозных яичников обычно ставится, когда не наступает ожидаемая беременность, причем в течение нескольких месяцев.
Пациенток с СПКЯ могут беспокоить и следующие проявления:
- нерегулярный цикл, постоянные задержки месячных, а также их отсутствие;
- болезненные ощущения внизу живота, в области поясницы, органов малого таза;
- повышенное выделение кожного сала;
- множественные элементы кожной сыпи;
- нехарактерная для девушек волосатость из-за повышенного содержания мужских половых гормонов в крови (ГА – гиперандрогения);
- быстрый набор веса;
- изменение голоса;
- неизменная базальная температура в течение всего цикла;
- невозможность забеременеть.
Остановимся подробнее на признаках гиперандрогении (ГА), многие подобные симптомы вызывают у девушек растерянность и неприятие своего тела. Необходимо понимать, что это патологическое состояние вызвано нарушением гормонального фона, который вполне можно скорректировать:
- гирсутизм (так доктора называют усиленный рост жестких темных волос в зоне сосков, лица, груди, живота, а также на бедрах и с области спины);
- участки с залысинами на голове;
- усиление мужских признаков (грубеет тембр голоса, происходит сужение бедер и расширение плечевого пояса);
- отложение жира в области живота, напоминающее мужское ожирение;
- угревая сыпь;
- избыточная концентрация на половом влечении;
- увеличиваются размеры клитора;
- уменьшаются молочные железы;
- утолщается кожа, меняется ее цвет (выявляется так называемый «черный акантоз»).
Стоит также обратить внимание и на состояние вашей нервной системы – нет ли депрессии, нервозности, постоянного чувства усталости, апатии.


























