Соска- безопасность
При покупке соски обязательно следуйте этим рекомендациям:
- Ищите цельную модель с мягким соском (некоторые пустышки из двух частей могут развалиться).
- Каракас должен быть изготовлен из прочного пластика с воздушными отверстиями и иметь ширину не менее 1 см, чтобы ребенок не мог его проглотить.
- Приобретайте безопасные для мытья посуды пустышки и чистите их часто, пока ребенку не исполнится 6 месяцев; После этого регулярно мойте пустышки горячим мылом и водой.
- Соски бывают двух размеров: 0-6 месяцев и 6 месяцев и выше; для удобства ребенка убедитесь, что пустышки имеют правильный размер.
- Чтобы предотвратить риск удушения , никогда не завязывайте пустышку вокруг руки, шеи или кроватки вашего ребенка. Вместо этого используйте зажим для соски.
- Никогда не используйте соску для бутылочки и кольцо вместо соски; ниппель может отделиться от кольца и стать причиной удушья.
- Регулярно осматривайте пустышки на предмет повреждений и заменяйте их, если резина изменила цвет или порвалась.
В каком возрасте пора отучать и почему
Споры вокруг пустышки не утихают ни на минуту. Причем спорят не только опытные и начинающие мамы, но и сами специалисты. С одной стороны, соска – это зло. Она портит прикус, что в свою очередь, влечет за собой неправильное произношение звуков. К тому же роль играет психологический аспект: считается, что дите, занятое ею, меньше нуждается в познании мира и хуже развивается.
С другой стороны пустышка помогает реализовать сосательный рефлекс, тем самым улучшая аппетит ребенка, и в этом ее основное преимущество. А еще, все дети любят засыпать с пустышкой. Если ее нет, в ход идет грудь. Это не всегда удобно, уверяют мамы из опыта. Например, если ребенок на улице захотел спать, придется искать укромное местечко, чтобы его подкормить и успокоить.
Подытоживая все вышесказанное, хочется отметить, что она нужна и важна, но до поры до времени. Знаете, когда нужно отучать от нее? По словам психологов, начинать следует уже с 3 месяцев. Тогда при условии правильно прилагаемых усилий, малыш полностью откажется от пустышки уже в год. Раньше лишать его любимой игрушки нельзя. Будут лезть зубы, и кроха будет тянуть в рот все, что попадется ему под руку.
К слову, эти рекомендации не всегда можно выполнить на практике. Есть дети, которые к 2 – 3 месяцам только начинают активно брать соску. Есть и еще более поздние. Были прецеденты, когда дети брали соску в момент прорезывания зубов для почесывания десен.
Интересно, что когда речь идет о пустышке, работать против нее никогда не поздно. Итак, оптимальное время для отказа – до года. Если не смогли или не успели, можно продлить до полутора лет. Крайний срок отучения – в 2 года. Есть, правда, дети, которые не могут расстаться с соской и позже, но равняться на них не стоит. В противном случае история, как у моих знакомых, может повториться.
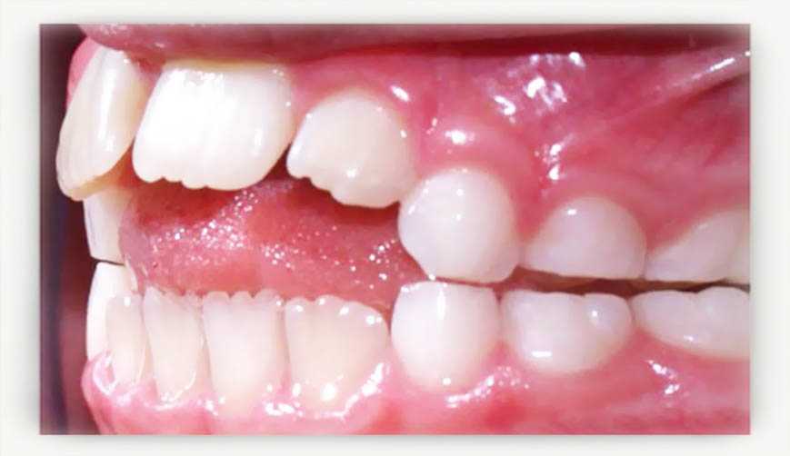
Считается, что главная опасность слишком долгой любви крохи к пустышке — это испорченный прикус и разнообразные проблемы с зубами. Наглядно это можно увидеть на фото.
Для чего нужна пустышка
Действительно, нужна ли вообще эта пустышка или без нее можно прекрасно обходиться? Еще в утробе матери у малыша появляется один из самых главных рефлексов – сосательный. Именно при помощи него ребенок в дальнейшем может сосать молоко. Поэтому процесс сосания соски для него является вполне естественным.
Однако этот рефлекс не только несет функцию обучения кормлению, он нужен еще и для определенного успокоения, так как при появлении на свет в первые месяцы жизни малыш испытывает стресс, особенно когда мамы нет рядом. Он начинает капризничать, и порой самый простой способ его успокоить – это пустышка. К тому же при сосании малыши легче засыпают.

Некоторые детки с первых дней жизни не берут соску, и мамы гордо заявляют, что их кроха вполне может обойтись без нее. Причиной отказа от пустышки является банальная вещь: соска просто не подходит ребенку. Мамы и папы, а также другие родственники всегда стремятся купить пустышку подороже, а они не всегда подходят маленьким деткам.
Вопрос 3 Как понять, что у ребенка глисты? Надо ли давать детям препараты для их профилактики?
Заподозрить заражение глистами можно по нескольким признакам: упорному зуду в области анального отверстия, повышению эозинофилов в общем анализе крови, хроническим болям в животе, хронической крапивнице. Но все эти признаки — неспецифические симптомы, они встречаются при десятках других болезней или вовсе могут быть не связаны с болезненным состоянием.
Сейчас довольно часто встречается заражение острицами — энтеробиоз, реже аскаридами — аскаридоз, крайне редко другими глистами. Препараты для профилактики показаны только в ветеринарии, то есть для животных, а также в некоторых странах с частыми случаями выявления глистов, например, в странах Латинской Америки.
Россия к таким не относится. В нашей стране противоглистные препараты следует давать только в лечебных целях, когда диагноз подтвержден, но не профилактически, ведь у таких лекарств есть побочные эффекты. Лучшая профилактика глистов — тщательное соблюдение мер гигиены, особенно мытье рук, своевременное состригание ногтей.
Чтобы выяснить, есть ли у ребенка глисты, надо сдать два анализа:
- Анализ кала на яйца глистов, лучше методом PARASEP — у него чувствительность выше, чем у традиционного исследования.
- Соскоб с перианальной области на энтеробиоз — острицы откладывают яйца вокруг анального отверстия.
Можно повторять эти анализы 1—2 раза в год как скрининг, а также при обоснованном подозрении на заражение аскаридами или острицами.
Правила избавления – отучаем от пустышки
Итак, немаловажную роль в этом процессе играет возраст детей, их психологические особенности и реакция на действия родителей.
Представляем несколько основных правил, которые следует применять при отучении деток от пристрастия к соске.
Не кричите на крох, если они отказываются выполнять ваши просьбы и продолжают демонстративно использовать этот предмет. Старайтесь превратить процедуру отказа в развлечение, чтобы снизить тревожность и избавить ребенка от стрессов и обид. Подросшему чаду подробно объясните, что в его возрасте уже можно отказаться от пустышки
Покажите фотографии счастливых детей без сосок, но к сравнению со сверстниками стоит относиться с осторожностью. Не применяйте старые, проверенные временем и бабушками, методы – смазывание поверхности соком алоэ, чеснока, горького перца, горчицей
Специи могут вызвать аллергическую реакцию. Распорядок дня составляйте таким образом, чтобы кроха постоянно был занят – играйте в развивающие и подвижные игры, занимайтесь физическими упражнениями. Заведите особый ритуал перед сном для избегания истерик во время отлучения: водные процедуры, чтение книжки, легкий массаж и т.д. Ребенок засыпает с «сосей» во рту? Обязательно выньте ее и положите рядом, чтобы избежать сосания во сне. Не стоит разрезать соску, иначе малыш сможет откусить кусочек латекса и вызвать тем самым неприятности с пищеварением. Категорически нельзя портить важный для детей предмет в их присутствии, чтобы не нанести психологическую травму.
Чего делать нельзя
Итак, вы определились с тем, когда будете отучать малыша от пустышки. Теперь выберите метод отказа от вредной привычки и узнайте, чего делать нельзя.
- Не мажьте соску жгучим перцем, горчицей. Да, сосущий малыш, конечно, испугается и перестанет брать именно эту пустышку в рот. Но они наносят серьезный вред здоровью ребенка, могут вызвать аллергическую реакцию, боли в желудке, отек гортани.
- Не используйте народный совет о разрезании пустышки на части как лепестки цветов. Это опасно. Ребенок откусит резинку, проглотит ее и может подавиться.
- Не давите на малыша психологически. Крики и истерики мамы вряд ли помогут быстрее справиться с желанием сосать пустышку на ночь. Это только усугубит ситуацию.
- Не подвергайте испытаниям и лишениям больного ребенка. Подождите, пока самочувствие младенца улучшится, он будет в хорошем расположении духа.
Совет 4: Не перегуливайте ребенка
Одна из вещей, которую часто упускают из виду в первые дни, – это то, что дети могут очень быстро получить чрезмерное количество энергии от родителей
Конечно, игровое время является важной частью воспитания детей, и неплохо иметь несколько классных детских игрушек, чтобы развлечь их, но не переусердствуйте в первые несколько месяцев
Если ваш ребенок действительно получает чрезмерную стимуляцию, вам может быть трудно успокоить его и уснуть, когда ему нужно. Это приводит к тому, что ваш ребенок переутомляется. Когда ваш ребенок переутомится, он будет плакать, кричать и сильно нервничать, и вы тоже!
Очень маленькие дети действительно могут бодрствовать только 30 минут. Если он слишком устал и чрезмерно возбужден, сядьте с ним в тихом и темном месте и используйте описанную выше технику похлопывания / тссшш, чтобы успокоить его и успокоить его нервы.
Запрет на личное мнение
Что привело тебя к решению стать врачом-педиатром?
«Изначально я подавала документы только на “Лечебное дело” и “Стоматологию” при поступлении. Но в последний момент я решила подать документы в СПбГПМУ на три направления, где прошла на “Педиатрию”. Еще во время учебы хотела перевестись на “Лечебное дело”, но долго не могла определиться с выбором и в конце концов, передумала. А осталась, потому что после окончания основного обучения (6 лет) на “Педиатрии” ты можешь выбрать из множества специальностей, касающихся как лечения детей, так и взрослых. И потом, мне с детками работать приятнее в каких-то моментах, нежели со взрослыми и пожилыми людьми.
Да, я считаю, что поступила верно, выбрав эту специальность. Ведь именно поэтому я и поступила на это направление в вузе», — Диана Галиева, студентка 4-го курса СПбГПМУ
«Решение стать с педиатром пришло еще со школьных времен. Я очень интересовалась биологией и даже думала стать ветеринарным врачом или пойти в военную академию. Но однажды, в старших классах, моя мама поделилась, что мечтала видеть меня педиатром. Тогда я поняла, что это именно та профессия, которую искала. В целом, мне нравится находится в постоянном взаимодействии с людьми, приносить им пользу. Да и в принципе, эта профессия очень полезна как для себя, так и для своей семьи. И как-то всегда хотелось работать именно с детками, а не со взрослыми.
Я считаю, что выбрала правильный путь. Во-первых, я никогда не останусь без работы, ведь мы знаем, что врач востребован в любые времена. А во-вторых, это колоссальная помощь, даже от своих друзей-врачей разных специальностей, к которым я могу обратиться по разным поводам
Например, спросить что-нибудь важное о недуге родственника. А еще в работе ты чувствуешь себя нужным
И дома можешь лечить своего близкого самостоятельно. Это тоже огромный плюс», -Кристина Цико, врач-педиатр
Запрет выйти за рамки пола
Как отучить ребенка от соски?
Отучение от сосания пустышки — занятие хлопотное, и, самое главное, бессмысленное, утверждает Евгений Олегович. У одних детей сосательный рефлекс от рождения сильный и устойчивый, у других — он слабее. Вторые детки, как правило, быстрее выплевывают ставшую ненужной соску. А малыши с очень стойким рефлексом могут требовать пустышку и в 2, и в 3 года. Однако никто еще не отправлялся в школу в 6-7 лет с «дудой» во рту, говорит доктор, а потому волноваться не о чем.
Проблема длительного сосания пустышки — не проблема для ребенка, не болезнь, не плохая привычка – это его потребность, но безусловная проблема для всей семьи. Маме и бабушке так хочется, чтобы кроха скорее вырос. Отказ от соски, в понимании большинства родителей, это и есть один из шагов к взрослению, как первый шаг, первый зуд, первое слово. И если ребенок не хочет расставаться с пустышкой, то не надо над ним издеваться. Его время, говорит Комаровский, еще не пришло.
Алгоритм действий родителей должен быть таким:
-
Попробовали спрятать пустышку. Если кричит и не может уснуть на протяжении дня, не надо больше экспериментировать. Попытку повторяют через полгода.
-
Если ребенок днем уже хорошо обходится без соски, то можно попробовать дать ему легкое успокоительное на растительной основе перед ночным сном. Вполне возможно, соска для засыпания ему не понадобится. Но если требования остаются в силе, то отдайте пустышку и вернитесь к попытке разлучить ребенка с ней примерно через полгода.
По словам Комаровского, педиатрия не знает ни одной таблетки или мази, которая позволит вылечить тягу к соске. Придется поэкспериментировать с педагогическими методами — уговоры, увещевания, «заговаривание зубов», всевозможные отвлекающие маневры.
Если не работает, можно взять на вооружение бабушкин рецепт и намазать соску какой-нибудь «дрянью», вроде горчицы. Тут главное – не вызвать проблем с пищеводом, ожогов полости рта.
Подробнее о том, когда ребенку нужна соска-пустышка вы узнаете из следующего видео.
Причины привыкания
Рефлекс сосания – один из самых важных для новорождённого, более того, это природная необходимость. Вот почему при появлении на свет ребёнка медики обязательно проверяют эту стереотипную реакцию.
Если сосательный рефлекс находится на оптимальном уровне, грудничок будет хорошо «добывать» молоко и оптимально развиваться. В ином случае специалисты делают вывод о физиологических или неврологических расстройствах.
Ребёнок, находящийся исключительно на естественном вскармливании и получающий грудь по первому требованию, может сосать сосок матери чуть ли не круглосуточно. Тем самым он не только наедается, но и удовлетворяет свой сосательный рефлекс. В таком случае пустышка не нужна.
Однако, на практике столь частая необходимость давать ребёнку грудь очень выматывает и без того уставшую после родов женщину. Она начинает переутомляться, раздражаться, что в итоге способно отрицательно сказаться на малыше. Как выход: пустышка для удовлетворения желания сосать сосок.
Другое дело, если младенец является искусственником. Добывание пищи из бутылочки требует меньших усилий, нежели сосание материнской груди для получения молока. Ребёнок быстро насыщается, а сосательный рефлекс остаётся неудовлетворённым.
В такой ситуации силиконовый аксессуар становится для мамы неплохим помощником, а для малыша – тренажёром, успокоительным и средством для удовлетворения важных базовых потребностей.
Пустышка нужна не всегда, поэтому знакомить ребёнка с ней не следует, если:
женщина готова давать новорождённому грудь всегда, когда тому требуется удовлетворить сосательный рефлекс;
малыш выплевывает силиконовое приспособление;
ребёнок легко успокаивается и перестаёт плакать, как только его внимание отвлекут чем-то интересным (к примеру, игрушкой).
Таким образом, привыкание ребёнка к соске обусловлено как физиологическими (сосательный рефлекс), так и психологическими (средство успокоения) причинами. Причём первый фактор со временем плавно перетекает во второй, только усиливая привязанность.
Все «за» и «против» пустышки
Раздумывая, зачем ребенку пустышка, маме надо изучить все «за» и «против», чтобы знать, от чего отказываться или на что соглашаться. Положительных моментов хватает, но и отрицательных тоже.
| ЗА | ПРОТИВ |
| Допускается давать соску с 3-4 недель. К этому времени малыш уже развил сосательный рефлекс и знает, что его можно использовать и как успокоительное. | Категорически запрещается приучать ребенка к соске с рождения. Малыш будет неправильно захватывать грудь и может вообще от нее отказаться, так как сосать грудь труднее, чем соску. Исключение делается в случае, когда ребенок рождается недоношенным. |
| Пустышка в некотором роде полезна для детей-искусственников. Поскольку из бутылочки они наедаются гораздо быстрее, пустышка является дополнительным предметом для развития сосательного рефлекса (см. также: как правильно следует кормить новорожденного из бутылочки?). | Грудничку можно давать бутылочку с соской только при крайней необходимости и в виде исключения. Перед этим нужно убедиться, что грудного молока ему действительно не хватило. |
| Появившиеся в продаже пустышки со скошенным краем помогают развивать правильный прикус. Стоматологи рекомендуют покупать именно такие. | Правильный челюстно-лицевой аппарат формирует именно сосание груди. Несмотря на технические достижения в изготовлении пустышки, принцип ее сосания все же отличается от естественного. |
| В качестве успокоительного и отвлекающего средства пустышка часто бывает кстати на прогулках, в походах по магазинам и других ситуациях. | Поскольку ребенок часто роняет соску, ее приходится хорошо мыть, чтобы не занести в рот малышу микробы. Вне дома это проблематично, а облизывание соски мамой не решает вопрос. |
| Если ребенок тянет ручки в рот или любит «повисеть» на груди, давно уже наевшись, можно отвлечь его пустышкой. | Никакая соска не может заменить близость с мамой, которая во многом обеспечивается кормлением грудью. |
Спору нет – иногда пустышка попросту незаменима
Тем не менее, нужно осторожно соблюдать ту тонкую грань, когда степень вреда может превысить необходимость
Пришло ли время отучать от соски
Многих родителей интересует вопрос, когда отучать ребенка от пустышки? До годовалого возраста можно не беспокоиться о том, что ваш малыш не выпускает пустышку изо рта, поскольку это естественно. Однако при виде, к примеру, девочки трех лет с соской, одетой при этом в туфельки с каблучком, первое, что приходит на ум: родители не заботятся о здоровье своего чада.
Точного ответа никто не даст, все зависит индивидуально от развития и поведения каждого отдельного ребенка. Можно пробовать разводить с соской детей в возрасте восьми-девяти месяцев. Именно в это время у ребенка развивается жевательный рефлекс и уменьшается потребность в сосании.
Конечно, ничего страшного, если малыш продолжит сосать пустышку даже до двух-трех лет, но желательно отучить его как можно раньше. Сосание соски со временем становится для ребенка уже не средством удовлетворения сосательного рефлекса, а привычкой, такой же как для курильщиков сигареты. Специального средства или препарата, который заставит ребенка забыть о сосании соски нет, родителям нужно проделать целый комплекс мероприятий, чтобы без сильного стресса для ребенка забрать ее.
Почему малыши так к ней привыкают
Вопрос привыкания детей к пустышке специалисты объясняют тем, что она не только напоминает им материнскую грудь, но и дает ощущение покоя и защищенности.
При сосании у младенцев снижаются болезненные ощущения, так как вырабатываются эндогенные обезболивающие вещества. У недоношенных детей применение пустышки помогает развитию рефлексов сосания, глотания, дыхания. Привыкая ощущать покой и сытость при сосании с младенчества, ребенку трудно отказаться от соски и в более старшем возрасте. Особенно это выражено, если малышу не хватает внимания и заботы родителей.
Очень часто соска служит родителям в качестве отвлекающего маневра, чтобы самим не пришлось напрягаться по успокоению и развлечению ребенка.
💬 «Что, если справиться с привычкой не удалось и у ребенка развились нарушения?»
Опять же — помочь должен ортодонт. Если молочные зубы еще не начали сменяться постоянными, скорее всего, какое-то время врач будет просто наблюдать за ребенком. При незначительных нарушениях зубы еще могут вернуться в правильное положение самостоятельно.
Если же первые постоянные резцы уже прорезались (обычно это происходит в 6 лет), для коррекции прикуса будут использованы специальные съемные пластины. Их ношение дети, как правило, переносят гораздо легче, чем установку брекетов в более старшем возрасте.
Информация в статье представлена в ознакомительных целях. По любым проблемам в полости рта консультируйтесь со специалистом.
4 способа, как отучить от соски
В настоящее время выделяют четыре эффективные методики, которые помогают отучить малыша от соски. Выбор наиболее подходящего способа будет зависеть от возраста ребёнка, его индивидуальных особенностей и степени укоренения привычки.
Плавный отказ
Этот метод больше подходит для детей младше полутора лет.
Чтобы отвыкание отличалось безболезненностью и отсутствием стрессов, можно потратить на него несколько недель. При этом необходимо придерживаться следующих полезных рекомендаций.
Убирайте соску из виду днём, оставляя только на ночь. А чтобы ребёнок не скучал по своему «силиконовому приятелю», заполните детский день различными играми, просмотром мультиков и т.д.
Не берите соску с собой на улицу
Если же кроха расплачется во время прогулки, старайтесь отвлекать его внимание с помощью пролетающих птичек, пробегающих кошечек, проезжающих автомобилей. Ругать малыша, конечно, нельзя.
Поначалу малыш спит с пустышкой, однако, постепенно и от этой привычки нужно отказываться
При засыпании читайте сказочные истории, пойте колыбельные. Затем предлагайте вынуть пустышку и положить её на подушку.
Если ребёнок против, предложите обмен: пустышку на любимого медвежонка. Кроха всё-таки заснул с соской? Пока он дремлет, уберите силиконовый аксессуар. Постепенно малыш привыкнет засыпать без пустышки.
Не следует силой вынимать соску изо рта ребёнка, если тот категорически не желает с ней расставаться. Подобное действие не вызовет понимания с его стороны, напротив, родителей ждёт только истерика.
Резкий отказ
Столь суровый метод больше подходит для деток в два или три года, уже понимающих доводы и аргументы родителей.
Чтобы в этот непростой период не навредить ребёнку, нужно взять на вооружение один из следующих вариантов действий.
Приобретите конверт, напишите на нём произвольный адрес, к примеру, «Лисёнку в сказочный лес»
Затем пустышку положите в конверт, запечатайте его и отдайте папе, чтобы он «отнёс» важное отправление на почту.
Модификация способа – «подарить» пустышку маленькому двоюродному братику или соседскому новорождённому малышу. Естественно, эту ситуацию следует обговорить заранее с мамой ребёночка.
Если же малыш категорически не желает отдавать кому-либо свою пустышку, можно просто избавиться от неё, вместе выбросив в мусорку или речку.
Чтобы отучить ребенка от пустышки в 2 года, нужно после всех этих ритуалов устраивать своеобразное торжество, которое знаменует взросление. Если же ребёнок вспомнит о предмете, следует повторить, что он уже вырос и пустышка ему не нужна.
Резкое отучивание приветствуется не всеми специалистами, но всё же в некоторых ситуациях оно действительно помогает. Особенно если родители не знают, как быстро отучить ребенка от пустышки в 2 или 3 года.
Отказ за 7 дней
Когда нужно достаточно быстро и одновременно безболезненно отучить ребёнка от соски, подойдёт метод, которым активно делятся мамочки на многочисленных женских форумах.
Применяют такой способ в отношении детей, которые находятся на естественном вскармливании, поскольку маме нужно будет давать крохе грудь.
Сама методика включает следующие действия:
- на протяжении 5 дней необходимо время сосания пустышки сократить в два раза (ребёнок сосёт не полчаса, а 15 минут);
- в оставшиеся 2 дня пустышку предлагают только на ночь и на время дневного сна;
- длительность засыпания с пустышкой сокращают в 2 раза, давая после силиконового аксессуара грудь;
- если ребёнок настойчиво требует пустышку, следует придерживаться такой схемы: несколько минут нужно сосать соску – потом сосать сосок.
Пустышку дают лишь в особо тяжёлых ситуациях, когда ребёнка не удаётся успокоить другими способами – с помощью отвлечения внимания или кормления грудью.
Stoppi
Если предыдущие способы не помогли и родители не знают, как отучить ребенка от соски и пустышки, на помощь приходит «Стопи» – вестибулярная силиконовая ортодонтическая пластинка.
Это приспособление, выполненное из гипоаллергенного силикона, по заверениям производителей, не только избавляет от пристрастия к соске, но и позволяет исправить уже имеющийся неправильный прикус.
Силиконовая пластинка способствует:
- предотвращению открытого прикуса;
- предупреждению неправильного развития нижней челюсти;
- избавлению от ротового дыхания.
Чтобы положительный эффект был заметен, необходимо в течение нескольких недель надевать ребёнку эту пластинку, следя за тем, чтобы он не толкал в рот пустышки или пальчик.
Соска: за и против
У пустышки есть как преимущества, так и недостатки, причем сложно сказать, что перевешивает.
Плюсы
Соска удовлетворяет сосательный инстинкт и помогает малышу успокоиться, когда мамы нет рядом или она не может предложить ему грудь.
Соска незаменима во время прогулок в холодное время года и длительных поездок в автомобиле.
Если вы уже закончили грудное вскармливание, соска поможет малышу заснуть.
По данным Американской ассоциации педиатров, использование пустышки снижает риск синдрома внезапной детской смерти (так как предотвращает западение языка во сне).
Минусы
Теоретически, соска может испортить правильный захват груди, так что, если у вас есть проблемы с налаживанием грудного вскармливания или количеством молока, от пустышки лучше отказаться хотя бы на время.
На соске скапливаются и размножаются бактерии, особенно когда подросший ребенок сам вытаскивает ее изо рта и вставляет обратно.
Использование пустышки повышает риск заболевания средним отитом. Причем, чем старше ребенок, тем больше увеличивается риск.
Обратите внимание, среди минусов мы не указали неправильный прикус, плохую артикуляцию и более позднее развитие речи: убедительных доказательств того, что на это влияет соска-пустышка, по крайней мере в раннем возрасте, нет. Также не доказано что форма соски (ортодонтическая или традиционная «капелька») играет какую-то роль в формирования правильного прикуса. Американская ассоциация детских дантистов рекомендует прекратить использование соски после трех лет (и ограничить сосание пальцев), но отдельно указывает, что в этом деле важен индивидуальный подход
Американская ассоциация детских дантистов рекомендует прекратить использование соски после трех лет (и ограничить сосание пальцев), но отдельно указывает, что в этом деле важен индивидуальный подход.
Чего нельзя делать
Отучение – сложный процесс, часто сопровождается ошибками. Выбрав нужный метод, следует поинтересоваться о том, чего делать в любом случае нельзя. Период отучения для ребенка сложный. И ему нужно помочь.
Распространенные ошибки:
- Резать, рвать, портить другими способами соску. Ее будет сосать непривычно, неприятно. Но он продолжит это делать в 70% случаев. А кусочек силикона попадет в дыхательные пути вероятнее.
- Смазывание силикона горькими соусами, горчицей, перцем. Опасный метод, за который потом придется расплачиваться. Соусы содержат пищевые добавки, опасные для малыша. Начнется нарушение вкусовых рецепторов, отек, спазм. Сладкие добавки поспособствуют проблемам с зубами и приведут к противоположному результату. Зависимость от соски возрастет.
- Требовать отказаться от пустышки криками. Ее дают для успокаивания. Крики провоцируют стресс. Малыш больше нуждается в ней.
- Пытаться ограничить сосание в период, когда малыш болеет. На время болезни и прорезывания зубов соска выступает незаменимым помощником. Отказ стоит перенести.
7 общих правил как отучить ребенка от пустышки
Говорите малышу, так как он уже довольно взрослый, то соску сосать ему уже не нужно. Ведь мама с папой этого не делают. И соседский мальчик также ходит без соски.
- Кричать и ругаться из-за того, что карапуз продолжает сосать соску, несмотря на ваш запрет или договоренность между вами не стоит.
- Мазать пустышку всевозможными «бяками» также не нужно. Малыш сам должен понять и принять, что соска это пройденный этап его детства.
- Отвлекайте карапуза от мыслей про соску разными занятиями. Это могут быть игры, песни, прогулки, общее времяпровождение.
- Не оставляйте «силиконового друга» во рту у ребенка во время сна. Постоянно вытягивайте его. Так, карапуз будет самостоятельно засыпать, без него проснувшись ночью. Это правило следует применять задолго до процесса – отучить от соски.
- Портит или плохо говорить про соску при малыше не стоит. Ведь для него это ценная вещь, которая успокаивает, убаюкивает, удовлетворяет потребность в сосании. Такие действия могут нанести подсознательную психологическую травму карапузу.
- Не давайте крохе поврежденную соску, так как у него уже есть зубки, и он вполне может откусить и проглотить кусочек резины.

Когда отучать малыша от соски?
Есть в этом четкая закономерность: чем старше ребенок, тем тяжелее пройдет расставание с полюбившимся аксессуаром.
Естественно, малыш не откажется от нее самостоятельно и поэтому родители должны принять четкое решение и выбрать подходящий для себя и ребенка метод борьбы с вредной привычкой.
Какой возраст является отправной точкой в расставании с пустышкой? Многие специалисты твердо убеждены, что легче всего отучать от соски до достижения годовалого возраста
Это можно объяснить тем, что в возрасте одного года родителям будет легче переключить внимание крохи на другие предметы и игрушки. В возрасте двух или трех лет это будет сделать гораздо сложнее
Идеальным возрастом для отучения является период с шести до восьми месяцев. После полугода новорожденные рефлексы угасают и рефлекс сосания здесь не исключение.
В этот период вводится прикорм и ребенок начинает чувствовать новые вкусы, учится новым правилам питания. Здесь родители могут отвлечь малыша яркими ложками и тарелками.
Расставание с соской в возрасте от двух до трех лет проходит гораздо тяжелее по нескольким причинам:
- Привычка укореняется.
- Наступает кризис трехлетки, когда малыш выполняет все просьбы наоборот и становится капризным.
Смотря с другой стороны, трехлетний ребенок уже прекрасно понимает что от него хочет мама и поэтому она может найти к нему подход и договориться. Можно сказать ребенку что он уже взрослый, самостоятельный и может отдать свою соску какому-нибудь маленькому ребеночку.
Реально ли встретить в России семилетнего ребенка с соской во рту? Вряд ли это возможно. Родители вполне в силах справиться с детской привычкой, выбрав наиболее приемлемый способ.
Будучи в Италии на улице можно встретить пятилетнего малыша, который сидя в коляске сосет пустышку. И это совершенно не беспокоит его родителей. Они не бояться ни неправильного прикуса, ни косых взглядов окружающих. Вывод напрашивается сам по себе.
КАК ОТУЧИТЬ ОТ СОСКИ И НЕ НАНЕСТИ ТРАВМУ
Во-первых, не стоит отучать от пустышки малыша в неподходящее время. Например, когда он болеет или когда у него режутся зубки. Отучать малыша от пустышки надо тогда, когда ребенок хорошо себя чувствует, чтобы снизить стресс и сделать процесс безболезненным.
Во-вторых, желая отучить ребенка от соски нельзя сразу приступать к решительным действиям. Таким как выдернуть со рта малыша соску и бросить в мусорное ведро, твердо заявив при этом, что это “бяка”. Кроха начнет сразу громко плакать и требовать достать пустышку обратно.
Я предлагаю следующие 4 безболезненных, забавных и креативных способа попрощаться с соской!
Вопрос 2 Правда ли, что детей надо одевать теплее, чем взрослых?
Нет, совсем маленького ребенка надо одевать, как и взрослого человека, но с учетом того, что малыш будет лежать всю прогулку, почти не двигаясь, или вовсе спать. Без движения организм не так интенсивно вырабатывает тепло, а во сне выше теплопотери. То есть если родители пошли на прогулку в футболках, малышу достаточно легкой кофточки. Если же речь идет о ребенке, который будет активно двигаться, то одевать его надо точно так же, как взрослых.
Перекутывание не принесет ребенку пользы. Когда любому человеку жарко, особенно долго, он становится раздражительным и нервным. Младенцы, соответственно, становятся плаксивыми и капризными. Также может развиться потница — раздражение кожи от пота, тепловое истощение — не угрожающее жизни состояние недомогания и слабости, и даже тепловой удар — состояние, требующее немедленной помощи.
Кроме того, если у ребенка есть хронический зуд, как, например, при атопическом дерматите, то от жары он становится сильнее. В целом от перегрева ухудшается течение атопического дерматита, как и многих других сыпей, например крапивницы.
Чего нельзя делать?
Какой бы метод, тактику ни выбрали родители, следует помнить, что психическое состояние ребёнка важнее всего. Поэтому нельзя переходить ни к каким радикальным действиям:
- Нельзя ни в коем случае прибегать к «народной мудрости», смазывать пустышку перцем, водкой или горчицей. Может быть, ребёнок и откажется от пустышки, но такие действия точно негативно отразятся на психике малыша.
- Крик, постоянные упрёки, наказание тоже должны быть исключены, потому ребёнок не сможет понять, за что его ругают. Родители не имеют права дразнить ребёнка и разрешать это делать другим, потому что это может существенно занизить его самооценку, и он станет замкнутым.
- Нельзя обманывать ребёнка, если пообещали купить новую соску, то придётся выполнять обещания, иначе в его глазах упадёт авторитет родителей.





























